手術後経過の検討も詳細に行い、極め細やかな術後管理を心がけています。. 当科手術の特色 - 心臓手術について│九州大学病院心臓血管外科では九州で唯一の心臓移植実施指定施設として重症心不全症例に対し補助人工心臓装着から心臓移植まで行ってい.. 肺がんの手術は、大きく、拡大手術、開胸手術、胸腔鏡手術の3つにわけることができます。どの手術を行うかは、患者さんの状態によって異なります。そのなかでも、胸腔鏡手術は、術後の体力が低下しにくいことや、傷跡が小さなことなど、患者さんのqol(生活の質)を高く保つことの.

胸腔微創進化 開胸不再可怕 呼吸胸腔 健康百科 元氣網

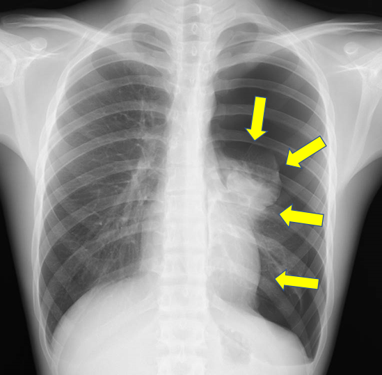
肺気胸の開胸手術後のようす|回復期間と胸腔ドレナージによる激痛体験談
(1).jpg)
開胸手術後還可以運動嗎? 專業醫師解答_健康新知_文章專區 常春月刊全宇宙最實用的保健知識

コードブルー2 第4話解説|白石&緋山が決めたクラムシェル開胸とは? 外科医の視点

気胸|慶應義塾大学医学部呼吸器外科

【2023年最新】胸腔ドレーンの看護|仕組み・管理やエアリーク・抜去・観察項目 ナースのヒント

» 冠動脈バイパス手術

胸腔鏡下手術 鳥取大学医学部器官制御外科学講座 胸部外科学分野 胸部外科・乳腺内分泌外科
希望大學 肺癌系 肺癌開刀的演進:胸腔鏡微創手術

胸腺腫(開胸手術) 習志野動物医療センター りょう動物病院

性転換手術11胸オペを失敗されたその後の再手術 YouTube

低侵襲心臓手術(MICS、ミックス手術) 東京ベイ・浦安市川医療センター

胸部手術打造屬於「你」的理想胸型,就找楊氏羅丹診所

胸腺腫 摘出手術(3回目)終わりました! 麦葡萄(悪性胸腺腫・膵臓がん・耳下腺腫瘍)

奇美醫院急診醫學部 20190719 外科呼吸道及開胸手術訓練

胸腺腫・胸腺がんの外科治療:胸腔鏡手術から開胸手術までわかりやすく解説します YouTube

私の 歩道 後方に 開 胸 手術 合併 症 yadio.jp

2022定番人気 腹腔鏡手術 v7iKLm31110127684 限定SALE安い

呼吸器外科 佐賀大学医学部 胸部・心臓血管外科

開胸手術 鳥取大学医学部器官制御外科学講座 胸部外科学分野 胸部外科・乳腺内分泌外科
そのため、心臓手術は「胸骨正中切開」と呼ばれるアプローチで行われるのが一般的な方法です。. 「胸骨正中切開」とは、胸のちょうど真ん中、左右の乳首の間の体の中央線上で縦に1本の正中切開と呼ばれる皮膚切開を行います。. その後中央にある胸骨.. 開腹手術や開胸手術などがこれにあたります。創は通常1カ所で、以下の方法よりも創が大きくなります。 (2)手術する部位を腹腔鏡や胸腔鏡で見てがんを取り除く方法. 腹腔鏡下手術や胸腔鏡下手術、ロボット支援下手術などがこれにあたります。