大学生のうちに歯列矯正!. 費用負担を抑える方法はある?. 歯列矯正は、比較的長い期間を要する治療なので、どのタイミングで始めたら良いのか迷ってしまいますよね。. 例えば大学生になりたての場合は、経済的にも余裕ができる社会人になっ.. 歯列矯正の治療費は自腹? 大学生の矯正治療にとって、治療費は大きな負担となります。だからこそ治療費が自腹になるのか気になりますよね。 歯列矯正の治療費に 保険 は使えるのか解説していきます。 基本的に保険適用外

術前と術後の比較 21ではじめる歯列矯正blog☽

矯正35日目 40代で歯列矯正始めた。

矯正治療で歯の動きが遅いタイプとは? 千葉県八千代市の矯正歯科専門医院【まきの歯列矯正クリニック】

歯列矯正 サンショウウオのあたまのなか

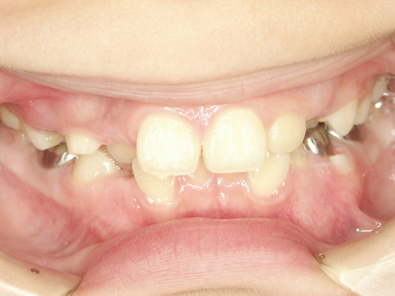
【小学校低学年 女子】出っ歯・がたがた歯の矯正歯科|よしかわ矯正歯科 症例

歯列育形成 その3 島田歯科医院

矯正治療で歯の動きが遅いタイプとは? 千葉県八千代市の矯正歯科専門医院【まきの歯列矯正クリニック】

埋伏歯の矯正治療 院長ブログ|さくら歯科・矯正歯科

足立区から歯列矯正患者様 東京 八重歯 大宮の歯医者|鈴木歯科医院

今までの歯の治療総額を振り返る。 アラフォーOL★☆老化と戦う平凡な日常

【歯列矯正】死ぬほど痛いけど、マジで始めて良かった…!費用やリアルな痛み、メリットデメリットなどお話します。 YouTube

歯科矯正が保険適用になるケースはある?適用症例や費用を抑える方法を紹介

【歯の生え変わり】遅い・早いで歯並びに影響はある?いつどの順番で抜けるか詳しく説明 キレイライン矯正【公式】|2万円から始められるマウスピース歯科矯正

70以上 歯列矯正 画像 209154芸能人 歯列矯正 画像

【歯の生え変わり】遅い・早いで歯並びに影響はある?いつどの順番で抜けるか詳しく説明 キレイライン矯正【公式】|2万円から始められるマウスピース歯科矯正

【大学生 女子】出っ歯の矯正歯科治療|よしかわ矯正歯科 症例

中学生の歯列矯正 中央区の矯正専門|日本橋ジェム矯正歯科ブログ

早い方がいい?子どもの歯の矯正に適した時期や治療方法について

歯列矯正で失敗しない為には?絶対にやってはいけない矯正歯科の選び方を解説|ユニゾン矯正歯科銀座6丁目|銀座駅の矯正歯科

歯の矯正が始まった 空の空日記
大学生が悩む歯科矯正の治療費用について. 学生の間に矯正をしたいと考える方は多いと思います。 理由は「綺麗になってモテたい! 「就職活動を有利にしたい! 「社会人になる前にやっておきたい! 」など様々です。 確かに、歯科矯正は人生をガラッと変えるぐらい、 大きなイベントなので出来る事なら早いうちにやっておきたい! と思う方が多いと思います。 しかし、 大学生の多くは、バイト代や仕送りで今の生活を送ってらっしゃる方が多いと思います。 今の歯並びにコンプレックスがあって歯の矯正をしたい気持ちはあっても. 「矯正はとても高額な治療」「治療費用が不安」 という事で諦めている方が多いのではないでしょうか? そんなあなたに! 知って得する矯正の料金体系と、おすすめの支払い方法、治療法を解説します。 目次. しかし矯正治療にかかる費用は大学生にとって高額なため、不安を感じる人も少なくありません。. あまり知られていないかもしれませんが、歯列矯正の支払い方法には「分割払い」や「デンタルローン」などがあり、当院 葛西モア矯正歯科でも.