1125. modifier - modifier le code - modifier Wikidata. La langue est un organe situé dans la cavité buccale, qui sert à la mastication, à la phonation et à la déglutition. C'est aussi l'organe du goût. C'est un organe très vascularisé. Les pressions développées par la langue sur les dents sont capables de les déplacer.. Les papilles caliciformes, situées à l'arrière de la langue, forment le « V lingual ». Elles sont au nombre de douze, ce qui est relativement faible, mais elles renferment des centaines de bourgeons. Elles permettent de détecter si un aliment a une saveur suspecte (exemple : l'amertume)

Langue Dermatologie buccale

Sección transversal de la lengua humana con papilas gustativas o células gustativas. Microscopio

Illustration montrant l'anatomie du goût. À gauche est une image de la langue en soulignant les

Physiologie du goût YouTube

Le goût des récepteurs plein les papilles Les Echos

caliciformes papilles caliciformes G4G5

Papilles fongiformes UE10 Tête et cou Tutorat Associatif Toulousain

Structure de langue illustration stock. Illustration du zones 26836821

Papilles Stock Illustrations, Vecteurs, & Clipart (120 Stock Illustrations)

Le goût du savoir ! A vos papilles

Papilas caliciformes qué son, características, histología, funciones

Lanalyse Sensorielle LA VUE LOUE LE TOUCHER LODORAT

Transient /Eruptive Lingual Papillitis on Tongue after Viral Infection YouTube

Le gout et la langue Alloprof

LE GOÛT CHEZ LE PORTEUR DE DENTIER Wine and beer, Body, Anatomy

L'appareil digestif Alimentation Communauté

Transient lingual papillitis or lie bumps causes and lie bumps treatment

Bioweb Anatomie des organes des sens

Papillae Tongue Banque d'image et photos Alamy

PPT Le Tube Digestif PowerPoint Presentation, free download ID4903635
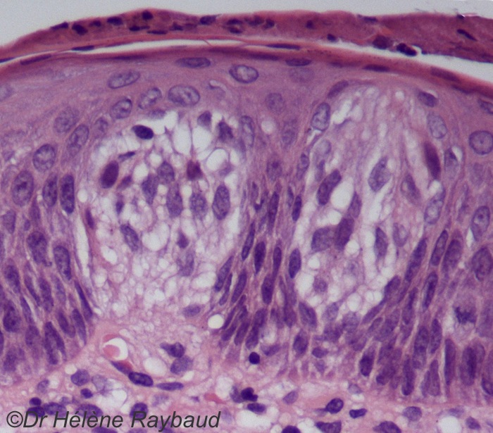
Les stimuli gustatifs et olfactifs sont des molécules prélevées dans l'environnement. Le goût est une composition de saveurs, perçues par la langue, et d' odeurs, perçues par le nez, ce qui se traduit par la notion de flaveur. l'umami (comme les glutamates).. Le gobelet en verre, également appelées papilles de circonvallate, sont situées à l'arrière de la langue, dans la région la plus proche de la gorge.Ce sont les plus grandes papilles linguales et les plus spécialisées comme les papilles. Ces papilles sont si grandes qu'elles peuvent être vues à l'œil nu, mais elles sont aussi les moins nombreuses dans l'épithélium lingual.