The procedure: tooth removal. Once you're sitting comfortably in a chair, your dentist will inject a local anaesthetic into the area around your tooth or teeth. They'll wait a few minutes to allow the injection to work and ask you a few questions to see if it's taking effect.. In yet another study to tie the presence of extractions in orthodontic treatment to development of obstructive sleep apnea later in life, a retrospective review of 5584 patients (half had not undergone premolar extractions, and half had four bicuspid extraction) who were matched for age, gender and body mass index, the orthodontically treated group showed that 299 (10.10%) of the group treated.

Orthodontic Extraction Therapy A Hard Look At the Evidence Decisions in Dentistry

Best Orthodontist South Delhi India Top Orthodontic Clinic South Delhi India

Orthodontic Specialists Provide Various Brace Types sendika8

Orthodontic Treatments For Autistic Children A Guide For Parents And Caregivers 醴 Safe Sleep

4 First Premolar Extraction for Bimaxillary Protrusion YouTube

Orthodontist Near Me Vista Dental Clinic

Types Of Orthodontic Treatment Near Me What Is Malocclusion

ORTHODONTIC TREATMENT WITH EXTRACTIONS 25 YEARS LATER Ορθοδοντικός στην Κέρκυρα

Affordable Tooth Extractions Willis TX Willis Family Dental

Orthodontic Treatment

Orthodontic Extraction Therapy A Hard Look At the Evidence Decisions in Dentistry

Extractions Summit Dental Health

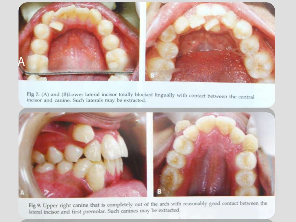
Extractions in orthodontics ug
Extractions in Orthodontic Treatment PDF Orthodontics Dental Anatomy

PPT Best Orthodontic Treatment Without Extractions PowerPoint Presentation ID8030885

Guest Editorial Orthodontic Extraction Therapy A Hard Look At the Evidence by Ricky E. Harrell

Painless and Easiest method for tooth extraction YouTube

Dramatic Improvement After Early Orthodontic Treatment

Orthodontic Treatment Eastern Dental

Factors influencing the cost of orthodontic care Sabka Dentist Top Dental Clinic Chain In
If you need to see a dentist out of hours. call a dentist: their voicemail may advise where to get out-of-hours treatment. call NHS 111 to find an out-of-hours dental service near you. Do not contact a GP, as they will not be able to offer emergency or out-of-hours dental care. If you're in pain while waiting to see a dentist, take painkillers.. Sedation is a form of anxiety control to make treatment more pleasant for you. It offers a modern alternative to general anaesthesia for most dental procedures. You or your child can be made to feel more relaxed by 'relative analgesia' (known as 'inhalation sedation'). This means breathing in a mixture of nitrous oxide and oxygen ('gas and air.