ALCANCE Y OBJETIVO DE LA GPC. Esta guía está dirigida para que sea utilizada por los integrantes de los equipos de salud involucrados en el continuo de atención desde la promoción de salud, prevención, detección precoz y confirmación diagnóstica del cáncer de cuello de útero.. La citología cervical se realiza generalmente durante la revisión ginecológica anual. En Women's recomendamos realizarla a partir del momento en que se empiezan a mantener relaciones sexuales y repetir la prueba periódicamente. En algunos casos específicos, si se han encontrado células anormales en un examen citológico anterior o si.

Citologia Vaginal HSIL Tableware

CITOLOGIA CERVICAL PROCEDIMIENTO YouTube

Citología vaginal. ¿Cada cuánto hay que hacerse una citología?

Conceptos básicos para la citología cervical

Clínica de la Mujer Ginecólogo CDMX Medica Mujer Profem

Citología vaginal ¿Por qué es tan importante? mediQuo

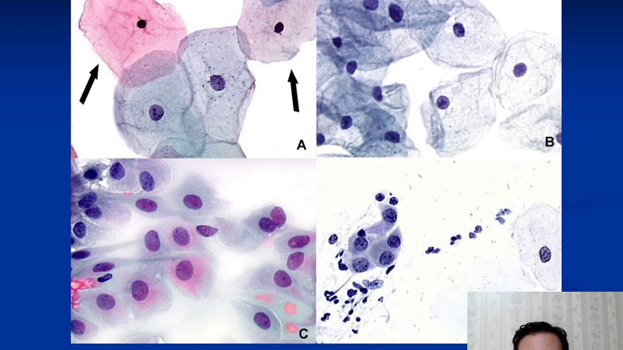
Celulas Endometriales En Mujeres Mayores De 40 Años Consejos Celulares

Inicio Clinica Mujer

Citología cervicovaginal y biopsias Ribera Lab

¿Ya te hiciste la citología? IPS Interconsultas

Toma de citología Centro Médico Magic Center

Citologia Ginecológica Geral YouTube

CITOLOGÍA Clínica Raymari

Citología vaginal Prevenir es vivir YouTube

Toma gratuita de citologías en la Red de Salud Centro campaña hasta el

Clínica de la Mujer Interhospital

¿En qué consiste la citología vaginal y cuándo debe hacerse?

Una citología podría evitar las 270 mil muertes de mujeres al año por

¿Sabes qué es la citología y por qué es importante? Clínica Raymari

Clínica de la Mujer Clinica Mujer
La citología es una prueba ginecológica que realizamos en las revisiones de Ginecología para detectar de forma precoz el cáncer de cuello de útero o cérvix. La citología, también conocida como test de Papanicolau, permite recoger una muestra de las células del cuello uterino para, después, analizarlas con un microscopio.. El cáncer cérvico uterino se desarrolla a partir de lesiones precursoras preinvasoras, también conocidas como neoplasias intraepiteliales cervicales (NIC) o lesiones escamosas intraepiteliales (LEI). Estas lesiones se dividen en tres grados de 1 a 3 según la gravedad de la altera ción en la diferenciación epitelial.